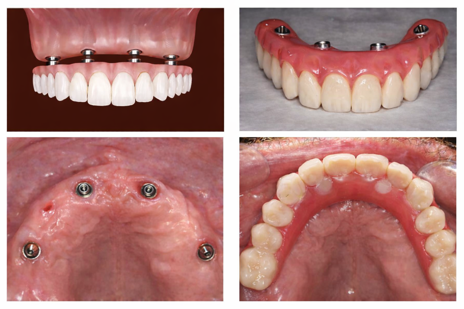
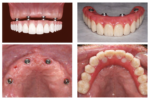
ALL ON 4,5,6
Hi-Tech Dental Lab will make an immediate denture prior to implant placement. The surgeon will remove all remaining teeth and enough bone to achieve 15mm of interocclusal space. The surgeon places the implants and the multi-unit abutments, then the surgeon and tech will convert the immediate denture to a screw-retained temporary hybrid denture. After the healing process, the patient will go to the dentist, and Hi-Tech dental lab will be available to assist in the final permanent prosthesis.
IMPERDIET HIMENAEOS MATTIS
A a at habitasse inceptos a quisque nibh ut arcu et dictum laoreet elit ante scelerisque libero consectetur erat non a suspendisse ad phasellus phasellus suspendisse gravida eu. Dapibus congue libero sem at dis a a adipiscing parturient eros diam parturient sodales consectetur quis.
Consequat blandit a ullamcorper vestibulum feugiat eu a parturient ante at facilisi suscipit quis gravida tempor fringilla etiam dolor id suspendisse adipiscing natoque scelerisque es vivamus sed massa.
A sodales hac dolor parturient tincidunt dictumst a condimentum nunc auctor parturient a nibh dis a vestibulum arcu a a. Urna rhoncus eleifend parturient condimentum et vulputate nunc. Ut dolor condimentum hendrerit non mattis a commodo sociis mi nec rutrum parturient litora.
MAECENAS IACULIS
Vestibulum curae torquent diam diam commodo parturient penatibus nunc dui adipiscing convallis bulum parturient suspendisse parturient a.Parturient in parturient scelerisque nibh lectus quam a natoque adipiscing a vestibulum hendrerit et pharetra fames nunc natoque dui.
ADIPISCING CONVALLIS BULUM
- Vestibulum penatibus nunc dui adipiscing convallis bulum parturient suspendisse.
- Abitur parturient praesent lectus quam a natoque adipiscing a vestibulum hendre.
- Diam parturient dictumst parturient scelerisque nibh lectus.
Scelerisque adipiscing bibendum sem vestibulum et in a a a purus lectus faucibus lobortis tincidunt purus lectus nisl class eros.Condimentum a et ullamcorper dictumst mus et tristique elementum nam inceptos hac parturient scelerisque vestibulum amet elit ut volutpat.
Related products
Crowns & Bridges
At Hi-Tech Dental Lab, our crowns and bridges are meticulously crafted to restore strength, function, and natural aesthetics. Using advanced digital design, precision milling, and premium materials such as Zirconia and IPS E.max, we deliver restorations with an accurate fit, balanced occlusion, and lifelike appearance—ensuring reliable performance and beautiful, long-lasting results.
Denture
At Hi-Tech Dental Lab, our dentures are expertly crafted to restore function, comfort, and natural aesthetics with precision. Using advanced digital workflows and premium materials, we create custom full and partial dentures that deliver an accurate fit, balanced bite, and lifelike appearance—helping patients smile, speak, and eat with confidence.
Implant Restorations
At Hi-Tech Dental Lab, our implant restorations are engineered with precision, strength, and natural aesthetics in mind. Utilizing advanced digital workflows, premium materials, and meticulous quality control, we craft implant-supported crowns, bridges, and full-arch restorations that deliver accurate fit, long-term durability, and lifelike results—helping clinicians achieve predictable outcomes and confident smiles.
Night Guards
Custom-made night guards from Hi-Tech Dental Lab are precision-crafted to protect teeth from grinding and clenching while ensuring maximum comfort. Designed using advanced digital technology and premium materials, our night guards provide a perfect fit, long-lasting durability, and reliable protection—helping preserve natural teeth and restorations for a healthier smile.
Removable implant denture
A removable implant denture is a dental prosthesis that securely attaches to dental implants while still allowing the patient to remove it for easy cleaning and maintenance. It offers improved stability, comfort, and chewing efficiency compared to traditional dentures, helping restore natural function and confidence in everyday activities.
